DISCOUNT ON ALL SETS!
2- Day Fracture Course
Unit price per
Course Overview
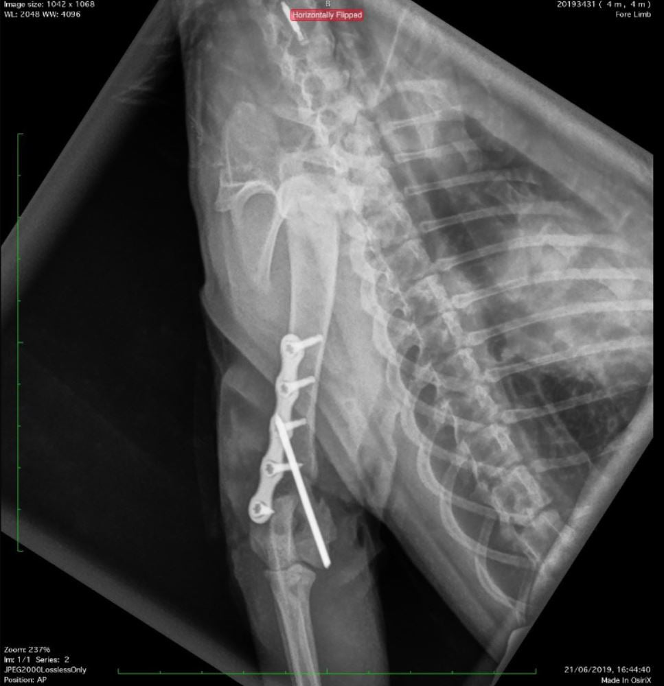
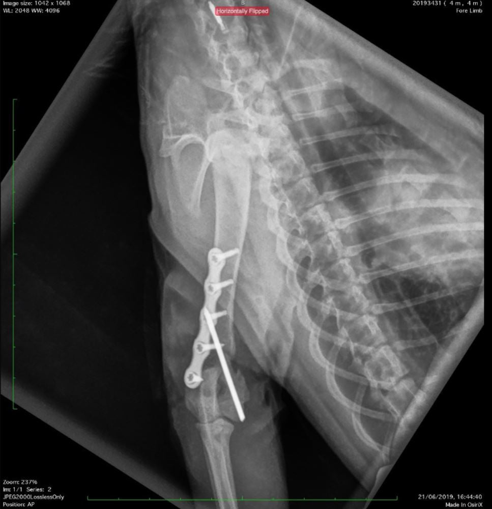
This course is designed for small animal practitioners seeking practical, effective methods to manage long bone fractures in dogs and cats. Participants will learn simplified techniques suitable for both straightforward and comminuted fractures, using modern implants that enhance surgical efficiency and reduce costs. By following key principles of fracture repair, complications can be minimized and outcomes improved.
Through a combination of lectures, clinical case discussions, and hands-on practice, attendees will gain confidence in choosing appropriate fixation methods and performing repairs. Practical sessions include fracture repair on plastic bone models and cadavers, followed by postoperative radiographs to assess technique and reinforce learning.
Learning Objectives
-
Understand the biology of bone healing and differentiate between primary and secondary healing
-
Review fracture classification systems and fixation strategies
-
Learn direct and indirect fracture reduction techniques and when to apply each approach
-
Apply the biomechanics of intramedullary pins, cerclage wires, bone screws, and plates, including compression, neutralization, and bridging methods
Surgeon Instructor: Kayla Marie Corriveau, DVM, DACVS (SA):
Dr. Kayla Corriveau received her DVM from Western University of Health Sciences in Pomona, CA in 2011. She continued her training with rotating and surgical specialty internships at California Veterinary Specialists, the Veterinary Specialty Hospital of San Diego, and the University of Pennsylvania School of Veterinary Medicine. Dr. Corriveau then completed a small animal surgical residency at Texas A&M University. After residency, she joined the Auburn University team as an assistant professor of small animal orthopedics in September 2017 with subsequent promotion to associate professor. Here clinical and research interests include arthroscopic surgery, minimally invasive fracture repair, and treatment of osteoarthritis.
A few shuttles will be complimentary from the airport to the hotel and vice versa on Friday and Sunday evenings.
OTHER COURSES
QUESTIONS?
Fill out the form below to contact us, or email us directly at USsales@rita-leibinger.com

